健康科普
发现肺部磨玻璃结节怎么办?一文说清!
“薄雾浓云磨玻璃,因事制宜君莫愁”
近年来,
随着健康体检胸部低剂量CT的普及,
磨玻璃结节(GGN)
在我国筛查人群中
约占肺结节的20%~40%,
检出率越来越高。
磨玻璃结节的本质,
解决焦虑和困扰。
因为磨玻璃结节中
有一部分会发展为肺癌,
很多人谈“磨”色变。
下面就带您了解一下
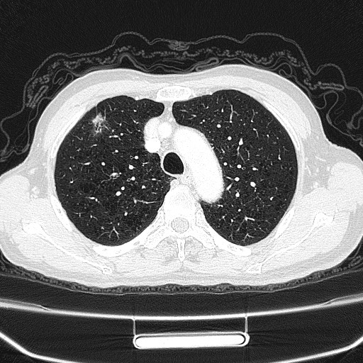
正常肺的CT表现是什么?
正常肺由各级支气管、肺泡系统、肺间质和血管组成。
肺泡壁非常薄,里面充满空气,CT的X线轻松穿透后形成黑色的图像,肺纹理清楚,没有增粗、紊乱、阴影和结节。
什么是磨玻璃结节?
磨玻璃指用金刚砂等磨过或以化学方法处理过的表面粗糙的半透明玻璃。
从胸部CT上看,肺部磨玻璃病变表现为边界清楚或不清楚的云雾状的圆形、类圆形病灶或不规则密度增高影,但病变密度不足以掩盖其中走行的血管和支气管影,看上去像磨玻璃,俗称“磨玻璃影”,这是由于肺部病变时X线不容易穿透造成,只是影像学上的一种客观描述,不代表疾病本身或预示病情的走向。
所有含磨玻璃密度的肺结节称为磨玻璃结节,又称为亚实性肺结节。磨玻璃病灶内不含有实性成分,称为纯磨玻璃结节;如含有实性成分则称为混杂性磨玻璃结节或部分实性结节。实性结节则是病变密度足以掩盖其中走行的血管影和支气管影。
磨玻璃结节有“良”“莠”之分!
“良”:感染引发的炎症性病变、间质性肺炎、外伤或自身免疫性疾病导致的肺出血、心功能不全等原因导致的肺水肿、肺纤维化早期、肺泡萎陷等。此外,支气管镜或经胸肺活检所造成局灶性肺损伤,短期内也可表现为磨玻璃结节。
“莠”: 磨玻璃结节样肺癌,病理类型可从不典型腺瘤样增生,到原位腺癌、到微浸润性腺癌,再到浸润性腺癌等多个腺癌演进阶段。
磨玻璃结节越大,实性成分越多,其恶性可能性越大。
发现磨玻璃结节后怎么办?
应及时到正规医院呼吸内科或胸外科就诊,详细告知医生病史、症状等信息,医生会与既往影像学资料进行对比,通过外观评估(结节大小、形态、边缘、结节-肺界面)和探查内涵(密度、内部结构特征)来判断结节的良恶性倾向,从而选择临床干预手段;或进一步检查(如高分辨率CT、病理活检等),或采取相应治疗措施(如抗炎治疗、手术切除等),或动态随访观察进一步评估。
通常采用“观察-等待”的方法进行一定时间随访,观察其动态变化,以便确定磨玻璃结节的性质。需要注意保证每次检查的扫描方案、扫描参数、图像显示、重建方法和测量方法一致。
磨玻璃结节的结局是什么?
结节复查消失:称为暂时性磨玻璃结节。此类多为炎症性结节,可以通过抗炎治疗、增强免疫力等方法促进吸收,甚至不采取任何措施也能吸收消散。
结节长期不变,保持稳定:称为持续性磨玻璃结节。只要没有体积增大和密度增加,大多数可以继续安心观察。因这种结节有潜在恶性可能,长时间动态观察过程中需要克服焦虑心理。
结节复查有进展,考虑恶性:表现为直径增大,倍增时间符合肿瘤生长规律;病灶稳定或增大,并出现实性成分;病灶缩小,但出现实性成分或其中实性成分增加;血管生成符合恶性肺结节规律;出现分叶、毛刺和/或胸膜凹陷征等。需要及时进行诊断和治疗,以避免肿瘤的快速进展和转移。
参考文献
1. 肺结节诊治中国专家共识(2018年版).中华结核和呼吸杂志,2018,41(10):763-771.
2. 肺结节诊治中国专家共识(2024年版).中华结核和呼吸杂志,2024,47(8):716-729.
3. 多发磨玻璃结节样肺癌多学科诊疗中国专家共识(2024年版).中华内科杂志,2024,63(2):153-169.













